KHOA NGOẠI THẦN KINH-CỘT SỐNG

( BỆNH NHÂN KHỎE, THẦY THUỐC VUI HẠNH PHÚC NHÂN ĐÔI)

 

1. Giới thiệu chung:

 

Khoa Ngoại Thần Kinh-Cột sống được chính thức thành lập vào tháng 7 năm 2020, trên cơ sở tách ra từ Khoa Ngoại Chấn Thương, nhằm chuyên biệt hóa lĩnh vực điều trị các bệnh lý thần kinh, cột sống.

Hiện nay nhân lực gồm 7 bác sĩ (2 BS CKI và 5 BSĐK), 14 điều dưỡng (06 cử nhân đại học và 8 cao đẳng) và 2 Hộ lý.

2. Thành tích nổi bật:

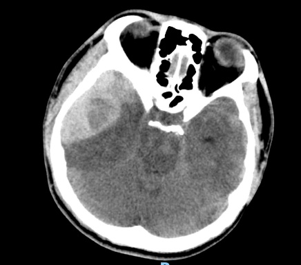
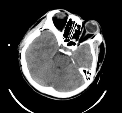
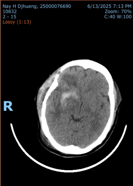
2.1. Xử lý hiệu quả các ca chấn thương sọ não: điều trị các ca chấn thương sọ não nặng Phẫu thuật các loại máu tụ nội sọ: ngoài màng cứng, máu tụ dưới màng cứng, máu tụ trong não,…

2.2. Xử lý các trường hợp đột quỵ não cấp: Phối hợp với các khoa liên quan để điều trị toàn diện. Phẫu thuật lấy máu tụ hoặc mở sọ giải áp khi có chỉ định các ca xuất huyết não, nhồi máu não,…

2.3. Điều trị bệnh lý cột sống: với sự hỗ trợ chuyên môn của Bệnh viện Chợ Rẫy, Bệnh viện Nhân Dân 115 TpHCM, Khoa đã và đang thực hiện phẫu thuật các trường hợp bệnh lý cột sống thắt lưng như: gãy cột sống; lấy nhân đệm thoát vị đơn thuần, qua kính vi phẫu; phẫu thuật trượt đốt sống; bơm xi-măng điều trị xẹp đốt sống do loãng xương;…Điều trị nội ngoại khoa các trường hợp Viêm thân sống đĩa đệm.

2.4. Phẫu thuật giải ép thần kinh ngoại biên: đã thực hiện thành công hội chứng ống cổ tay, góp phần giúp bệnh nhân giảm đau, phục hồi chức năng vận động bàn tay.

Phẫu thuật cột sống với sự hỗ trợ chuyên môn tuyến trên

 

Trước mổ

Sau mổ

Trước mổ

Sau mổ

Phẫu thuật lấy máu tụ nội sọ

 

Bơm ciment sinh học điều trị xẹp đốt sống do loãng xương, trên màn hình tăng sáng ( máy C-Arm)

 

Vá khuyết hổng sọ bằng lưới Tiatan có sử dụng công nghệ 3D

 

Phẫu thuật Trượt đốt sống L5S1

 

Phẫu thuật lấy nhân đệm qua kính vi phẫu

 

 

3. Định hướng phát triển:

- Đẩy mạnh ứng dụng phẫu thuật ít xâm lấn, đặc biệt là phẫu thuật qua kính vi phẫu, phẫu thuật nội soi cột sống.

- Tiếp tục học tập, nâng cao năng lực điều trị chấn thương và bệnh lý sọ não, cột sống.

- Mở rộng các kỹ thuật phẫu thuật thần kinh phù hợp.

- Tiếp tục liên kết nhận hỗ trợ chuyên môn, học hỏi từ các đơn vị tuyến trên.

4. Thông tin liên hệ

📍 Địa chỉ: Khoa Ngoại Thần Kinh-Bệnh viện Đa khoa Phú Yên. Số 15 Nguyễn Hữu Thọ, phường Tuy Hòa, tỉnh Đắk Lắk.

📞 SĐT liên hệ: 0834.071.477 hoặc 088.955.2237 (ĐD Linh)